
Хірургія
Відновлення усмішки та здоров’я: від лікування ясен до системи All-on-6
Запущений стан ясен і зубів — це не лише естетична проблема, а й реальний ризик втрати зубів. На фото — результат нашого комплексного стоматологічного лікування: усунення запалення, відновлення функції та повернення здорової, доглянутої усмішки.
Більше про послугу
Хірургія
Тотальне відновлення All-on-6 — це інвестиція у вашу молодість таякість життя
Навіть за наявності лише кількох власних зубів можливе повне відновлення жувальної функції та естетики вашої усмішки. Вже на етапі консультації ми оцінюємо не лише зуби, а й прикус, м’язи, суглоби та пропорції обличчя — щоб створити гармонійний і довготривалий результат.
Більше про послугу
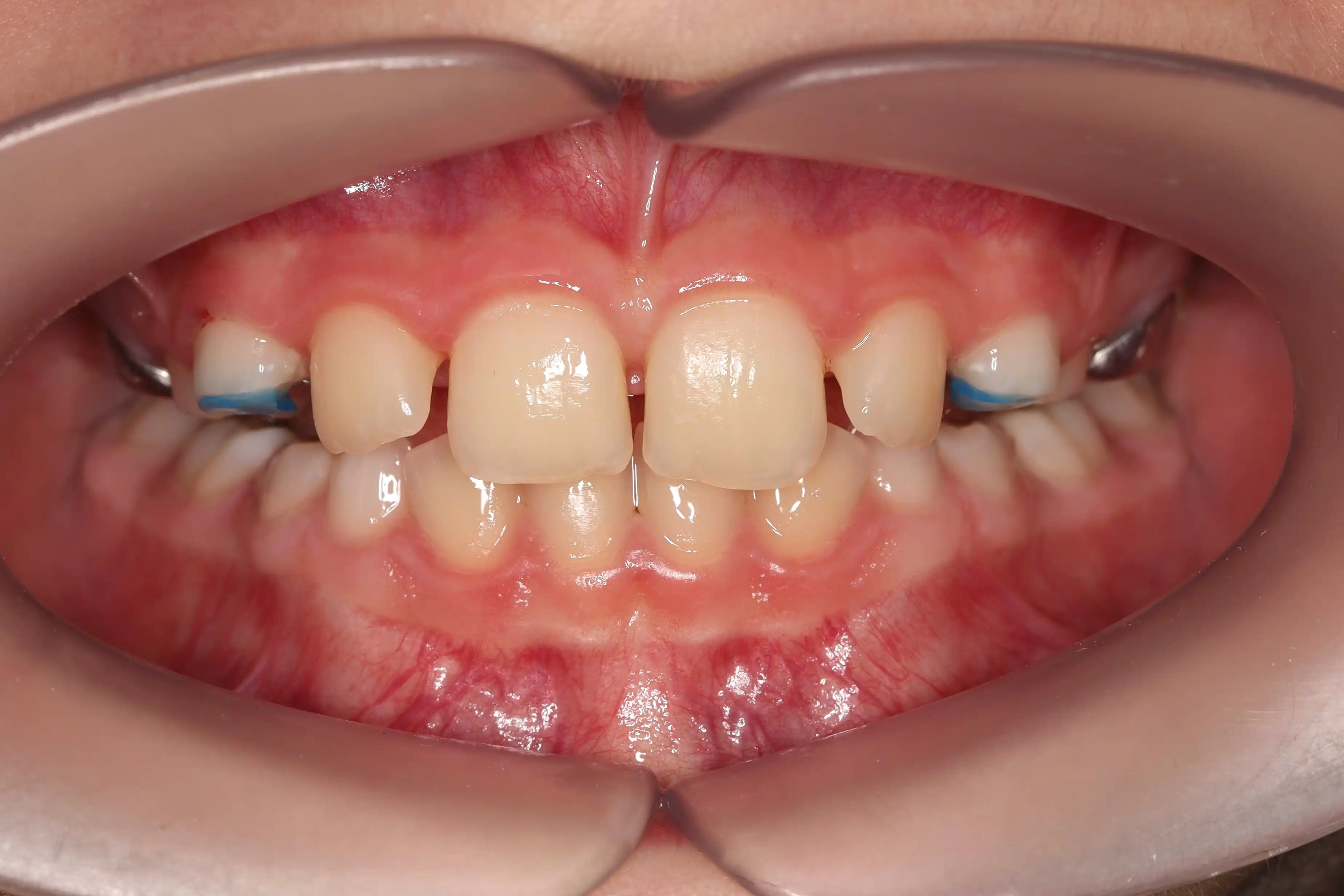
Ортодонтія
Виражений дефіцит місця
Понад 70% для правого центрального різця - створює складні умови для його правильного прорізування та позиції в зубному ряді.
Більше про послугу
Ортодонтія
Ортопедична корекція
Ортодонтичний етап як підготовка до ортопедичної корекції - це ключ до точного, функціонального та довготривалого результату.
Більше про послугу
Ортодонтія
Ортодонтичне лікування Invisalign
Підлітковий вік, постійний прикус без скелетних диспропорцій - ідеальні умови для точного та прогнозованого ортодонтичного лікування.
Більше про послугу
Ортодонтія
Скелетне розширення звуженої верхньої щелепи Marco Rosa
Це сучасний ортодонтичний підхід, який дозволяє не просто вирівняти зуби, а створити правильну анатомічну основу для їхнього здорового положення.
Більше про послугу
Ортодонтія
Комплексна трансформація: як поетапний підхід створює надійний результат
Іноді красива усмішка - це не про «просто поставити вініри», а про правильно вибудуваний шлях
Більше про послугу
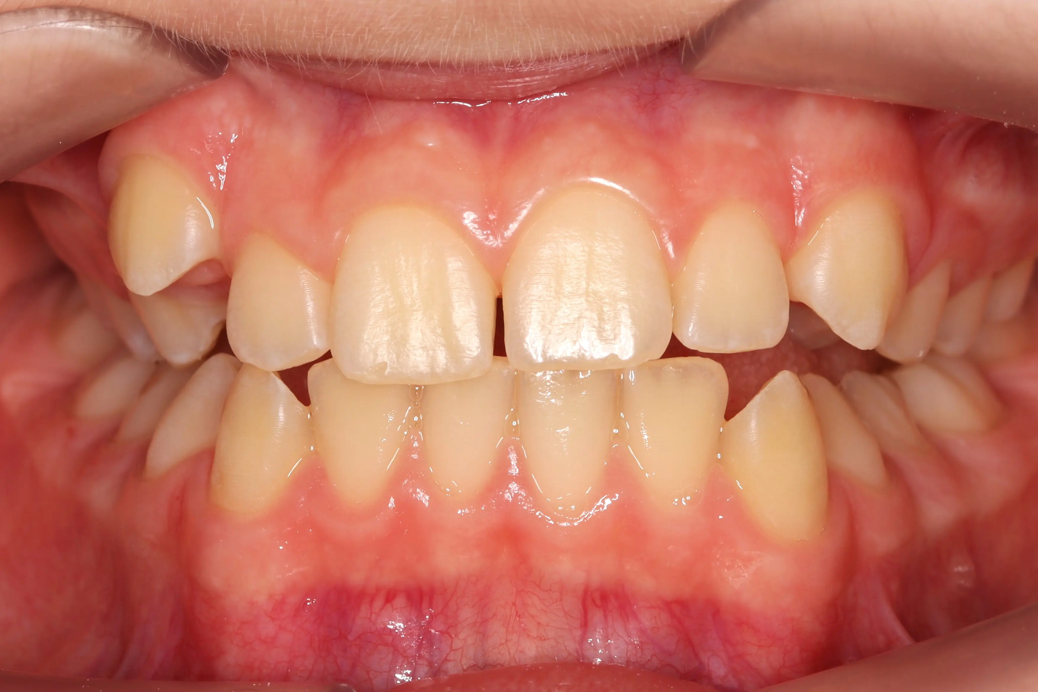
Ортодонтія
Асиметричний дефіцит. Лікування за допомогою апарата MARPE
Асиметричний дефіцит місця у ділянці верхнього правого ікла сформувався внаслідок зміщення бічного сегменту вперед. Це призвело до скупченості зубів як на верхній, так і на нижній щелепі та порушення гармонії посмішки.
Більше про послугу
Естетична стоматологія
Комплексне естетичне лікування
Це завжди про правильну послідовність і командну роботу. У даному клінічному випадку ми розпочали з ортодонтичної підготовки: вирівнювання зубів, створення правильного положення у зубних рядах та формування простору для майбутньої реабілітації. Це фундамент, без якого неможливо досягти стабільного та функціонального результату.
Більше про послугу
Хірургія
Імплантація з відновленням анатомії зуба
Для відновлення функції втраченого зуба проведено імплантацію з подальшим формуванням ясен під майбутню коронку.
Більше про послугу
Терапия
Запалення навколо кореня зуба
Запальний процес у кістковій тканині — наслідок інфекції в кореневих каналах. У таких випадках повторне ендодонтичне лікування дає можливість зберегти зуб і його функцію.
Більше про послугу
Відгуки
Ознайомтесь з враженнями наших пацієнтів після проходження лікування.
Робили зубки дитині (4 роки). Без сліз, стресу і страху, з подарунками та чудовим настроєм і здоровими зубками ми вперше відвідали стоматолога. Велика подяка вам за вашу роботу!
Професіонали з великої літери. Видаляли зуб. Дуже привітний та уважний персонал. Лікарі знають, що роблять. Однозначно вирішуватиму всі стоматологічні та імплантаційні питання тільки тут!
Гарна сучасна стоматологія. Стоматолог Дмитро Крохін — дуже професійний. Ціна повністю відповідає якості. Зуби стоять дуже міцно. Рекомендую!
"Швидкий запис, чіткий план лікування та чудовий сервіс. Рекомендую!"
"Мій найкращий досвід у стоматології! Дякую за чуйність та професіоналізм."
Як нас знайти?
Години роботи
Пн - Сб:
09:00–18:00
Передзвоніть мені
Залиште заявку — ми зв’яжемося з вами найближчим часом





