Скелетне розширення звуженої верхньої щелепи Marco Rosa
Це сучасний ортодонтичний підхід, який дозволяє не просто вирівняти зуби, а створити правильну анатомічну основу для їхнього здорового положення.
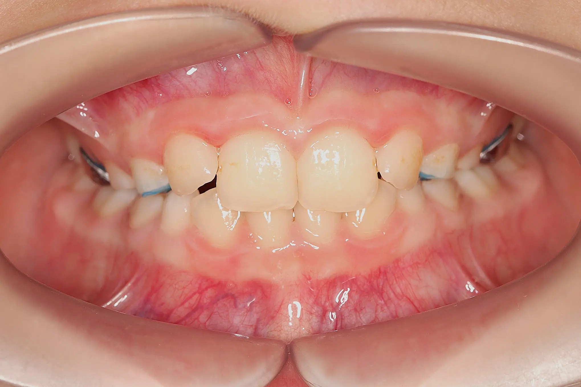
до

після

У даному випадку використано незнімний апарат Marco Rosa, який м`яко та контрольовано розширює верхню щелепу.Це дає можливість сформувати достатньо місця для вільного прорізування постійних зубів без скупченості.
Такий підхід важливий у дитячому віці, адже:
— запобігає складним ортодонтичним проблемам у майбутньому
— сприяє гармонійному розвитку обличчя
— покращує функцію дихання та жування
Результат - не лише рівні зуби, а й правильний розвиток щелепи та стабільний ортодонтичний ефект на роки

