Асиметричний дефіцит. Лікування за допомогою апарата MARPE
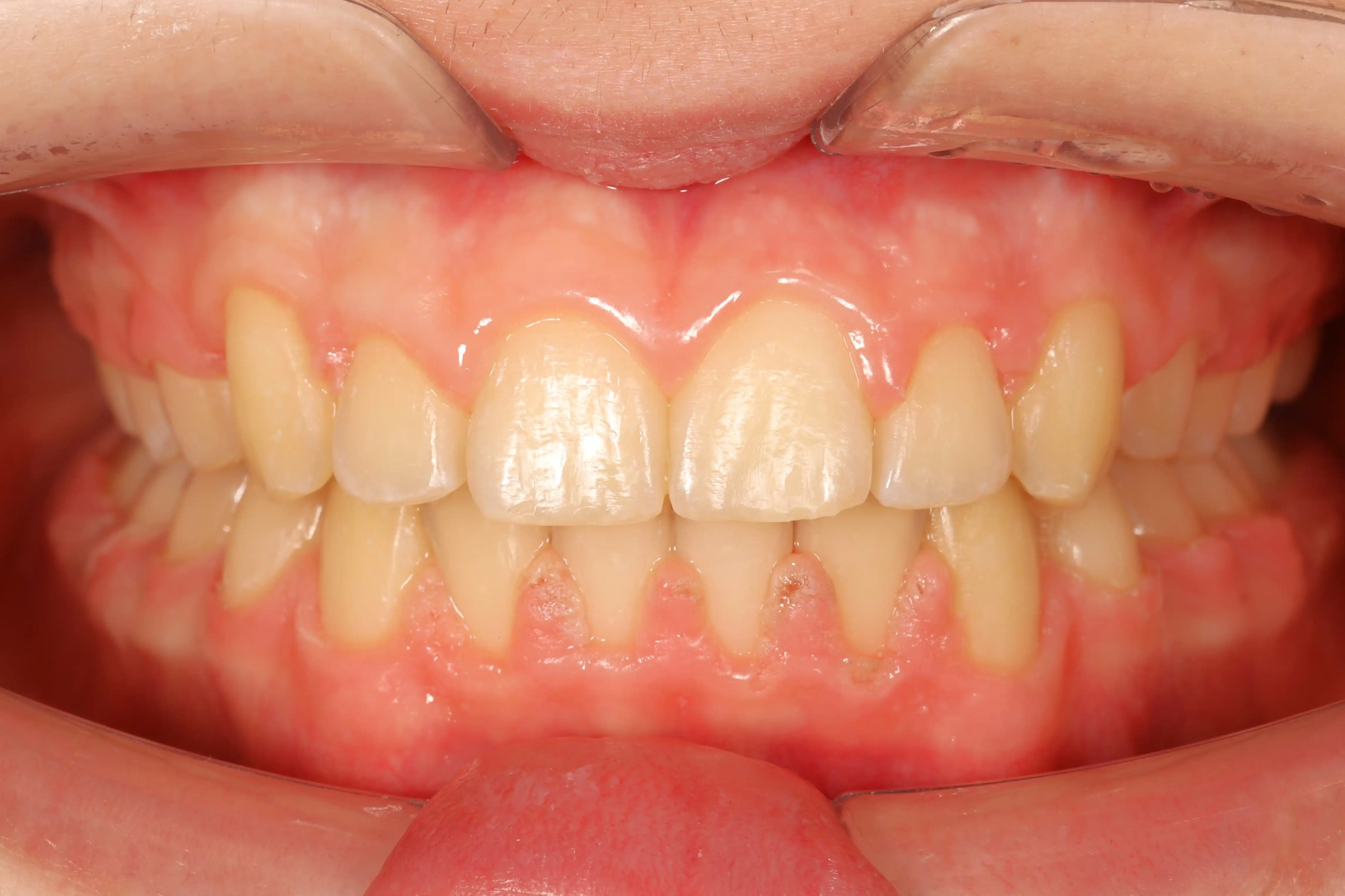
Асиметричний дефіцит місця у ділянці верхнього правого ікла сформувався внаслідок зміщення бічного сегменту вперед. Це призвело до скупченості зубів як на верхній, так і на нижній щелепі та порушення гармонії посмішки.
до

після

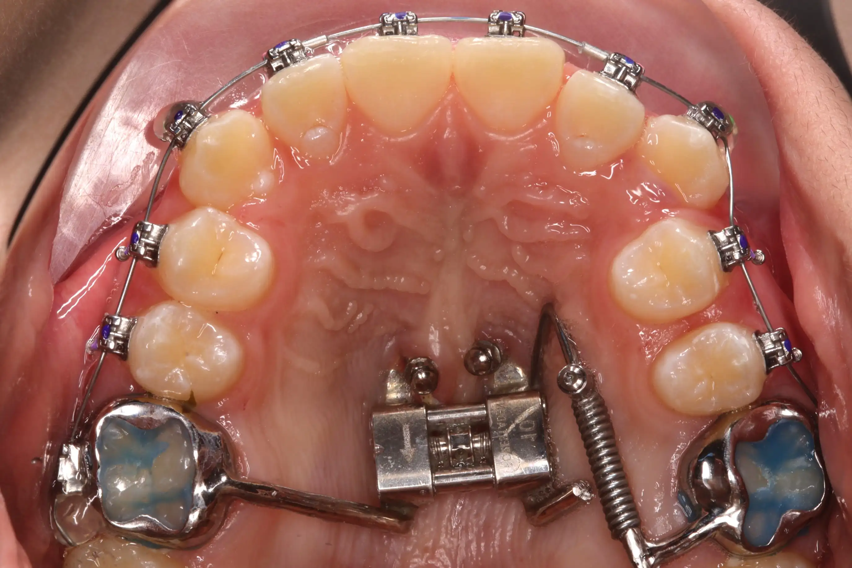
Лікування вимагало точного та індивідуального підходу. Було застосовано сучасний гібридний апарат MARPE з опорою на піднебінні мікроімпланти, що дозволило провести контрольоване розширення верхньої щелепи без небажаного навантаження на зуби. Для корекції асиметрії додатково використано односторонній дисталізатор Bene slider - це дало можливість змістити правий бічний сегмент у правильне положення.
На завершальному етапі встановлено двощелепну металеву самолігуючу брекет-систему для точного вирівнювання зубних рядів, відновлення функції та досягнення стабільного естетичного результату.
Комплексна ортодонтична робота дозволяє не лише вирівняти зуби, а й відновити баланс у всій зубощелепній системі, що є основою довготривалого результату та здоров`я.


