Відновлення усмішки та здоров’я: від лікування ясен до системи All-on-6
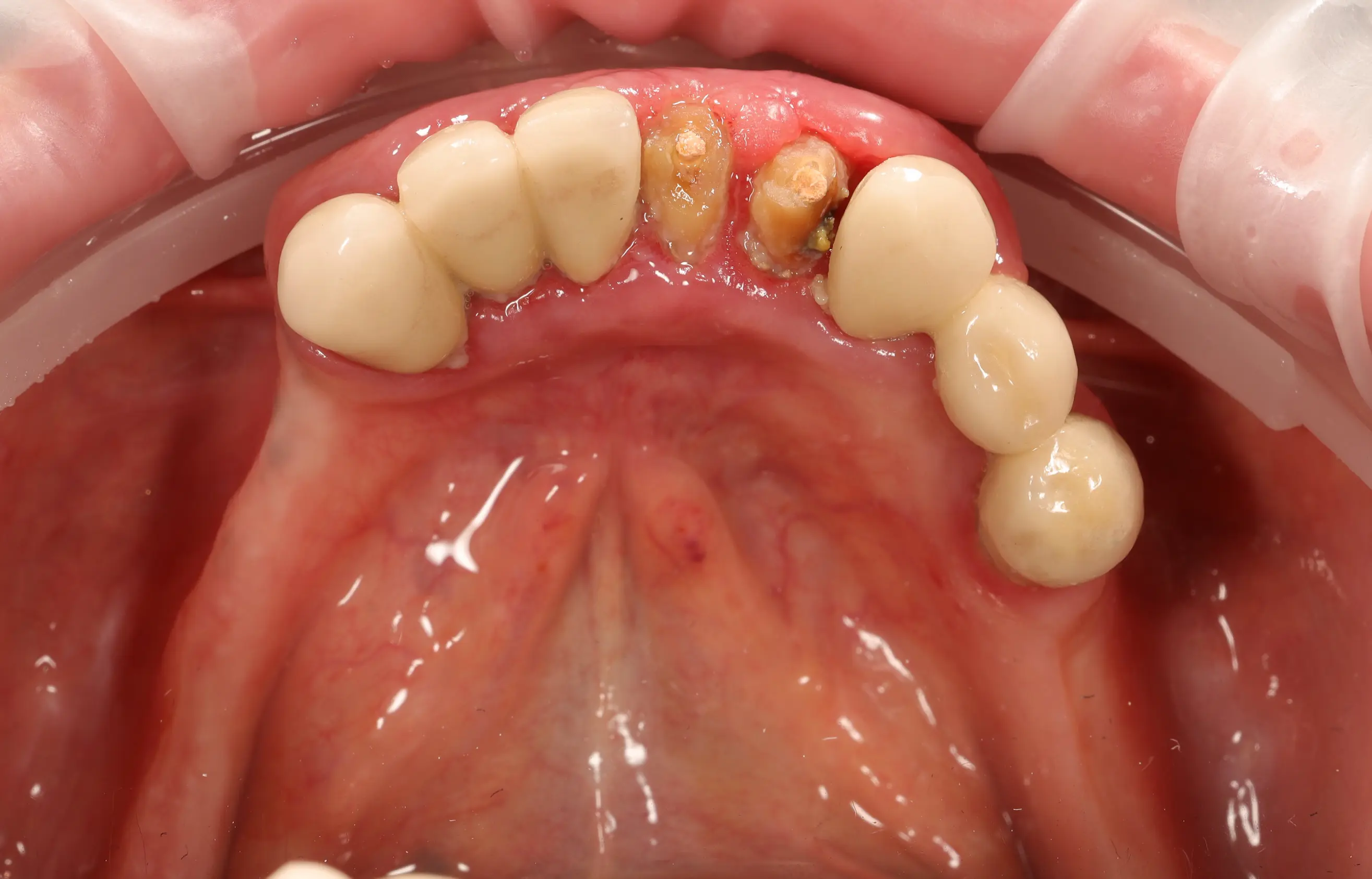
Запущений стан ясен і зубів — це не лише естетична проблема, а й реальний ризик втрати зубів. На фото — результат нашого комплексного стоматологічного лікування: усунення запалення, відновлення функції та повернення здорової, доглянутої усмішки.
до

після

Ми пропонуємо сучасне рішення для повного відновлення жувальної функції та естетики. На 6 імплантатах фіксується незнімна конструкція, яка надійно замінює втрачені зуби та відчувається як власні:
Стабільність і комфорт — надійна фіксація без компромісів.
Природний вигляд — ідеальна естетика вашої нової усмішки.
Повноцінне жування та чітка мова — відчуття впевненості у кожному слові.
Довготривалий результат — інвестиція у ваше здоров`я на роки.
Повертаємо якість життя — професійно та прогнозовано.



