Комплексна трансформація: як поетапний підхід створює надійний результат
Іноді красива усмішка - це не про «просто поставити вініри», а про правильно вибудуваний шлях
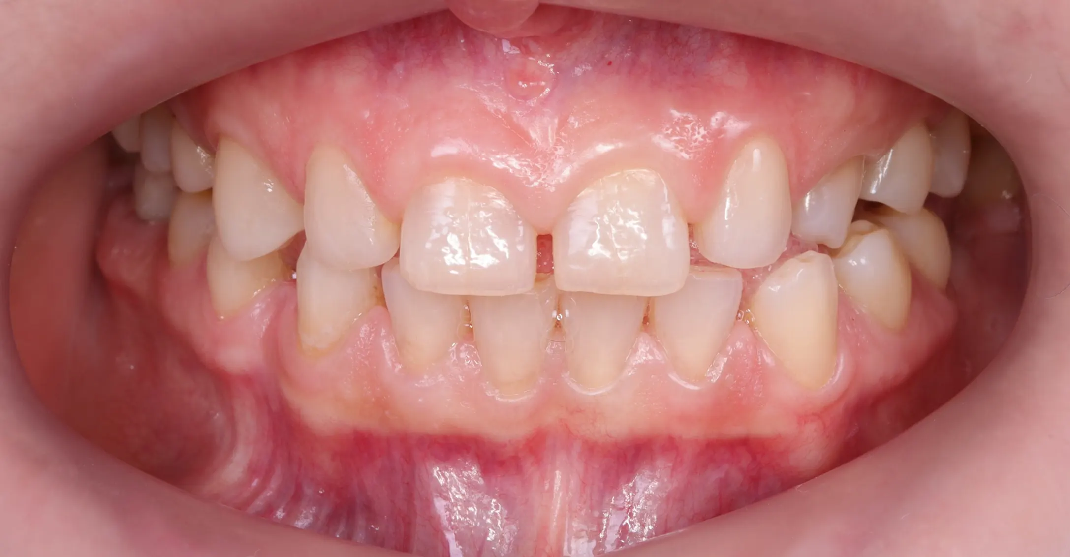
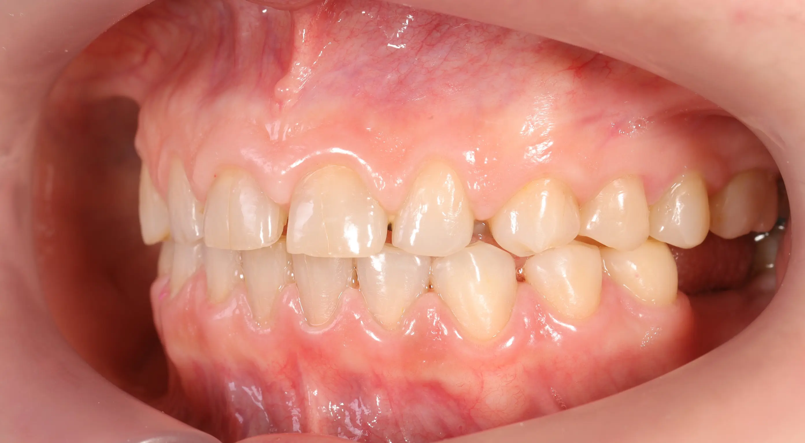
до

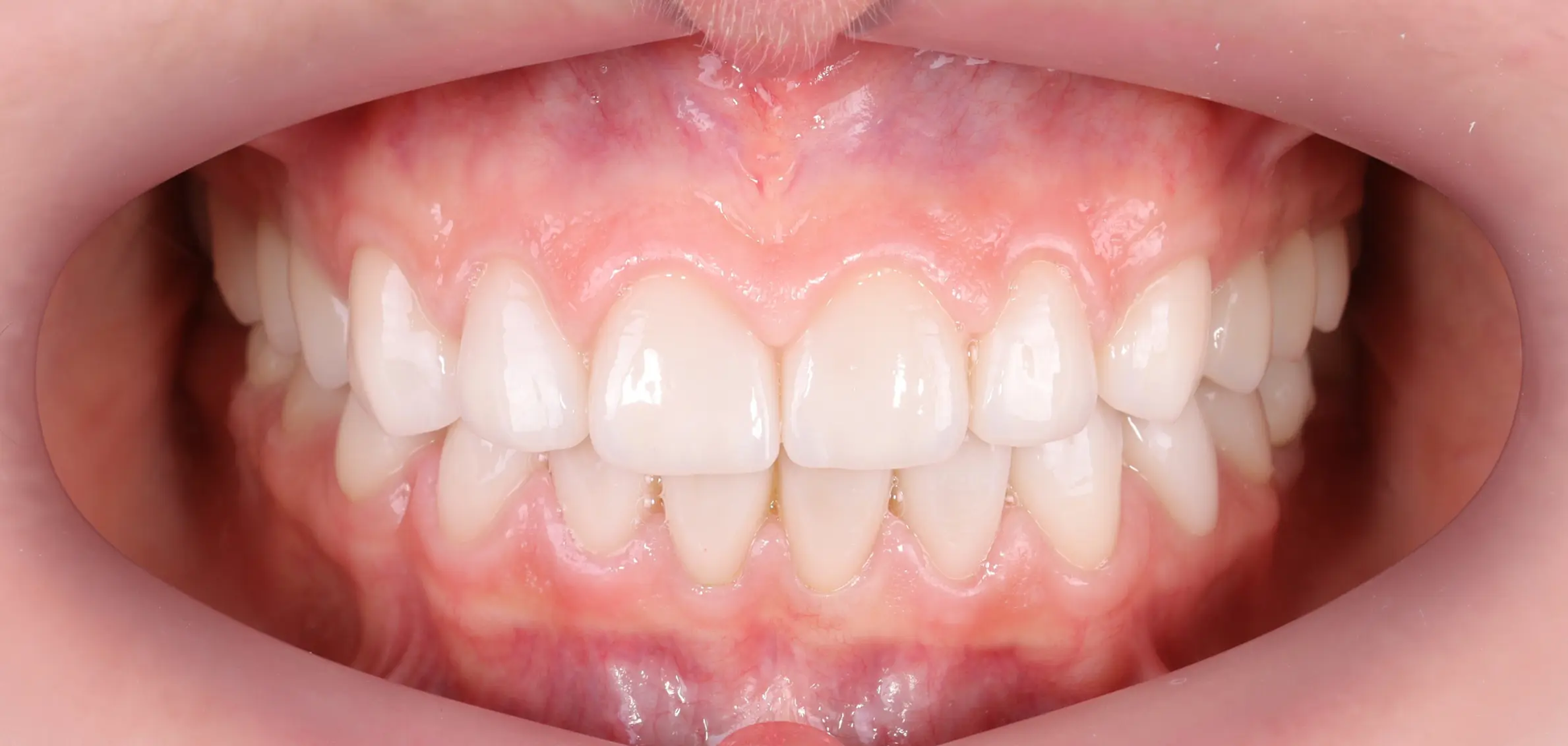
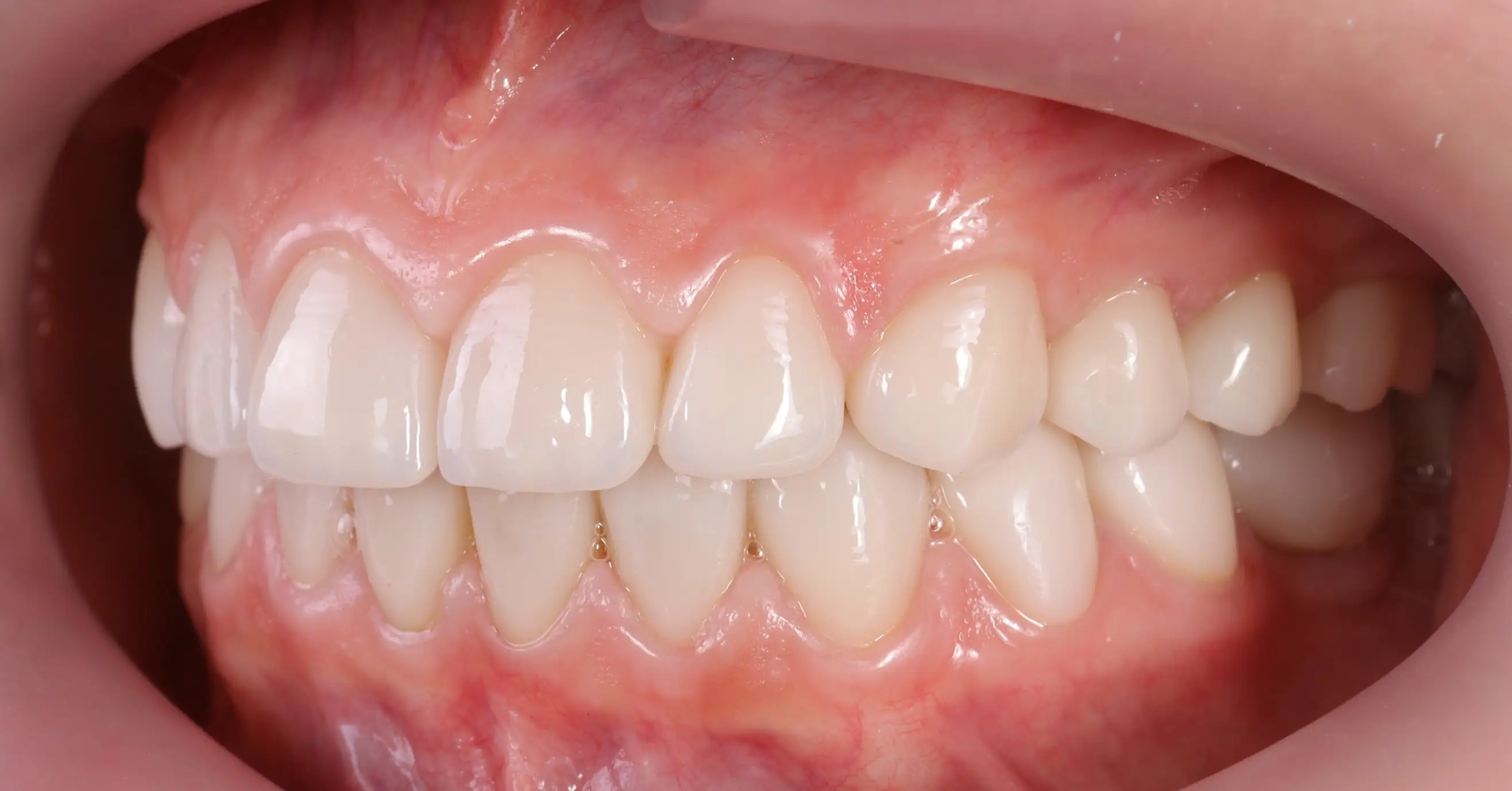
після

Ця робота почалася не з ортопедії, а з ортодонтії.
Спочатку ми вирівняли зуби, відновили правильне положення та прикус - створили основу, без якої ідеальний результат неможливий.
І лише після цього пацієнт перейшов до ортопедичного етапу
- Жувальна група - відновлена коронками для функції та міцності.
- Фронтальна зона - вініри для естетики та гармонії усмішки.
Такий комплексний підхід дозволяє не просто «зробити красиво», а отримати результат, який буде служити довго і виглядати максимально природно.
Це історія про поетапність, командну роботу і про те, що ідеальна усмішка - це завжди більше, ніж один візит.













