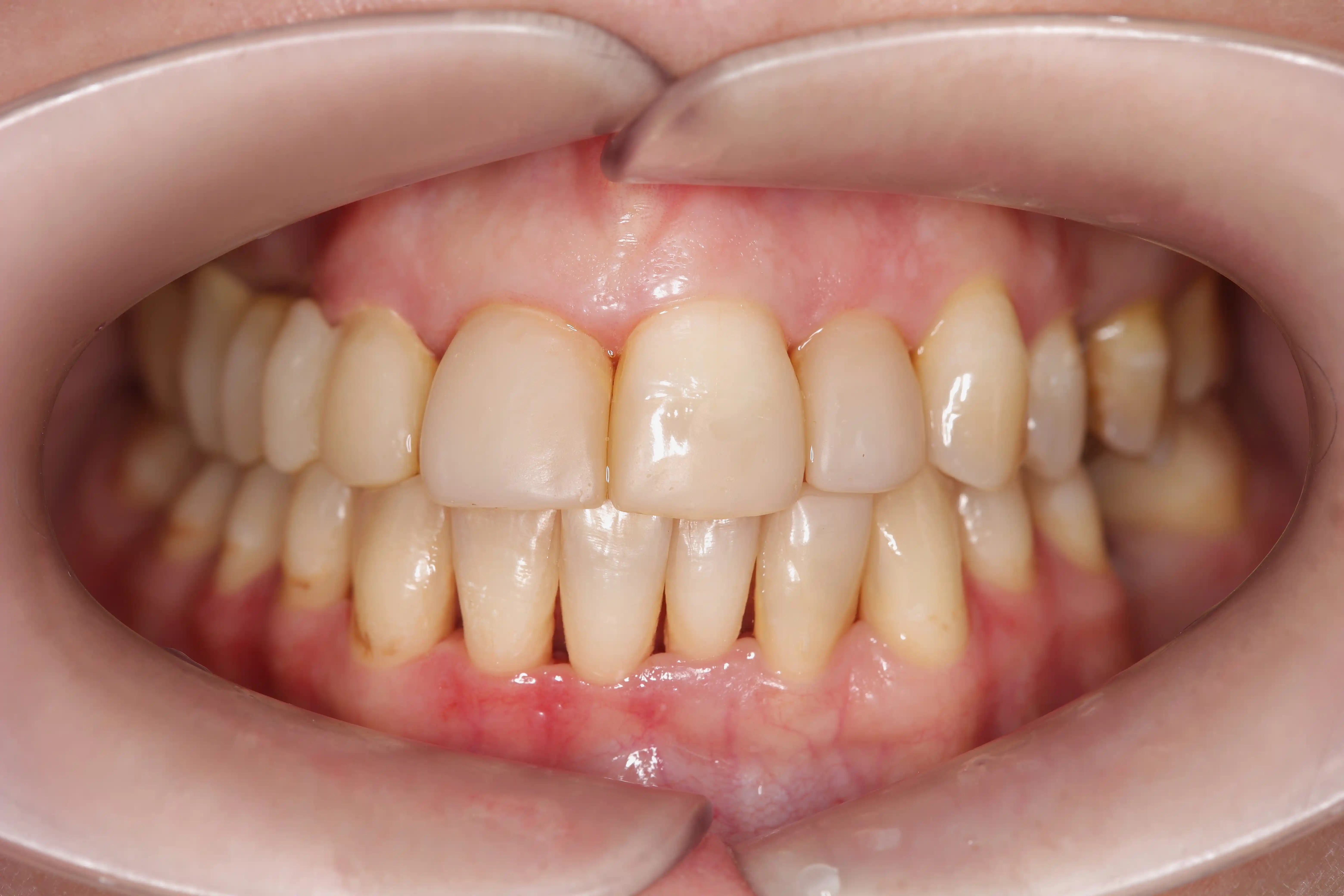
Ортопедична корекція
Ортодонтичний етап як підготовка до ортопедичної корекції - це ключ до точного, функціонального та довготривалого результату.
до

після

У цьому випадку лікування було спрямоване на:
- корекцію центрів верхнього та нижнього зубних рядів
- гармонізацію форми зубних дуг
- створення оптимального простору для подальшого протезування на імплантах
Такий підхід дозволяє не просто «вирівняти зуби», а підготувати правильну основу для майбутніх ортопедичних конструкцій. Кожен міліметр має значення - від положення зубів залежить естетика, функція та довговічність імплантів.
Результат - збалансований прикус, правильно розподілене навантаження та ідеальні умови для якісного протезування
