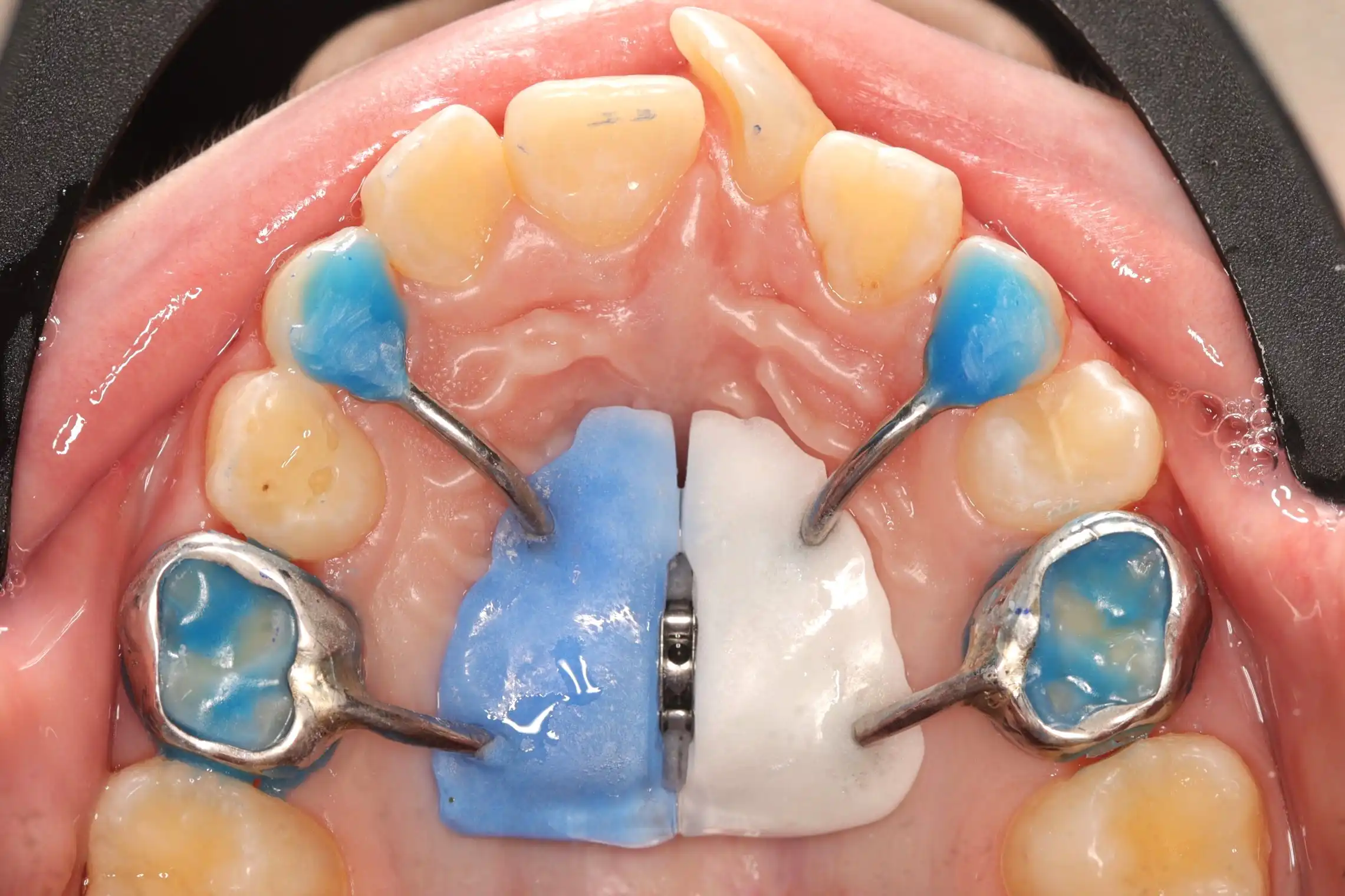
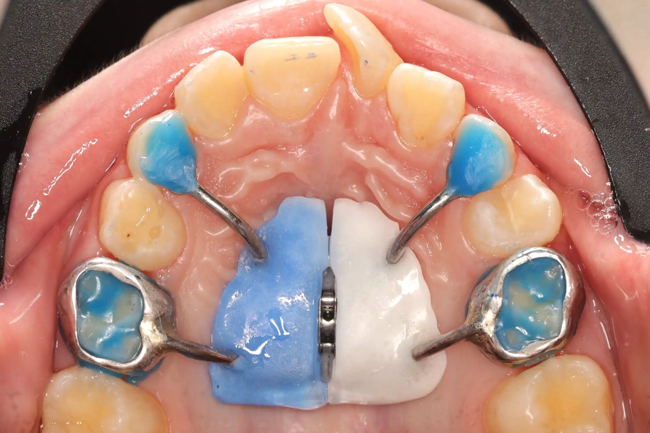
Виражений дефіцит місця
Понад 70% для правого центрального різця - створює складні умови для його правильного прорізування та позиції в зубному ряді.
до

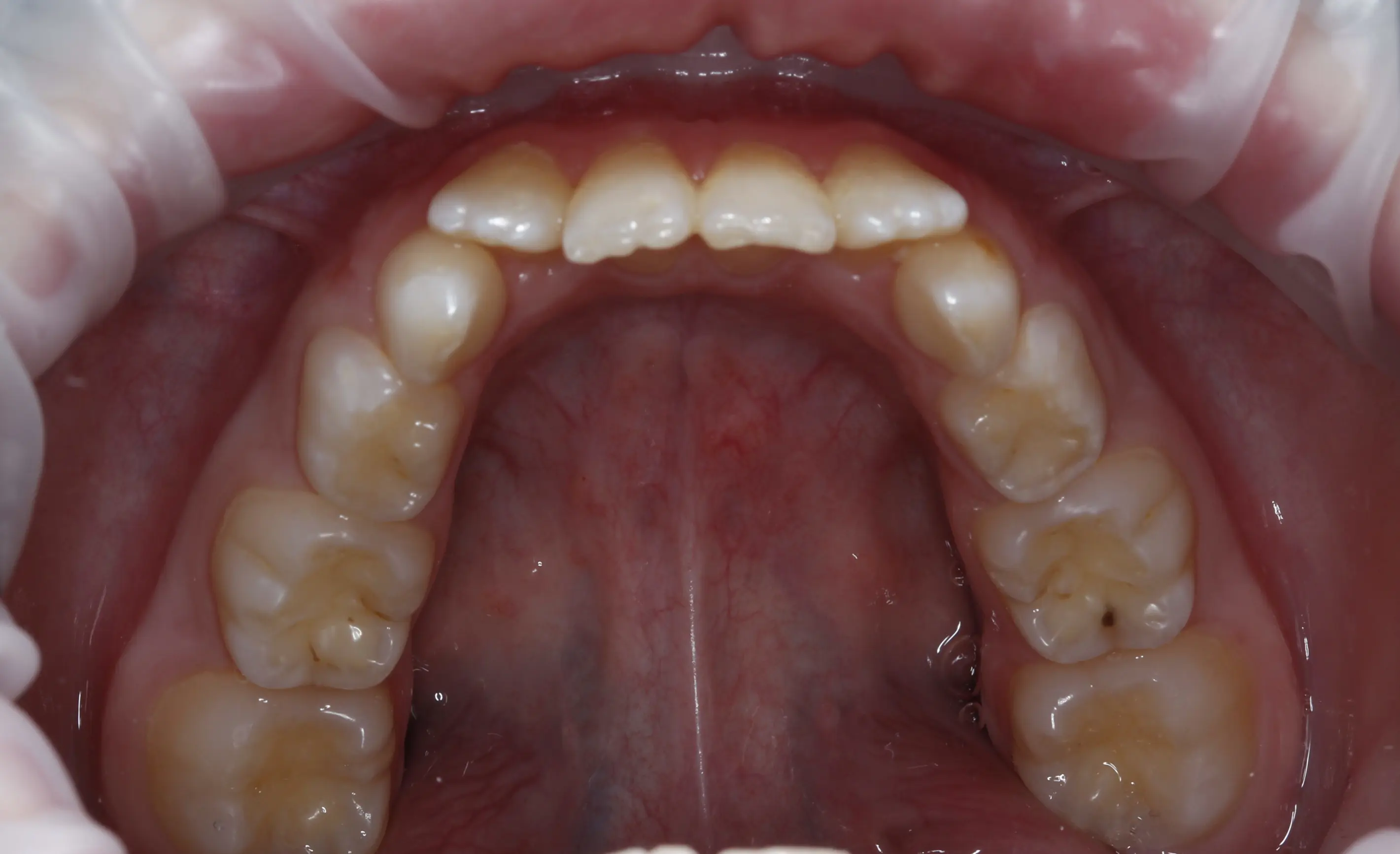
після

Лікування розпочато з розширення верхньої щелепи за допомогою незнімного апарату Marco Rosa, що дозволило сформувати необхідний простір. Далі проведена корекція положення різців із використанням часткової металевої брекет-системи 2х4, яка забезпечує точний контроль навіть на ранніх етапах формування прикусу.
Такий комбінований підхід дає можливість:
- створити достатній простір для зуба
- правильно зорієнтувати різці в зубному ряді
- запобігти більш складному лікуванню в майбутньому
Результат - відновлений баланс у фронтальній ділянці, правильне положення зубів і передумови для гармонійного розвитку прикусу





