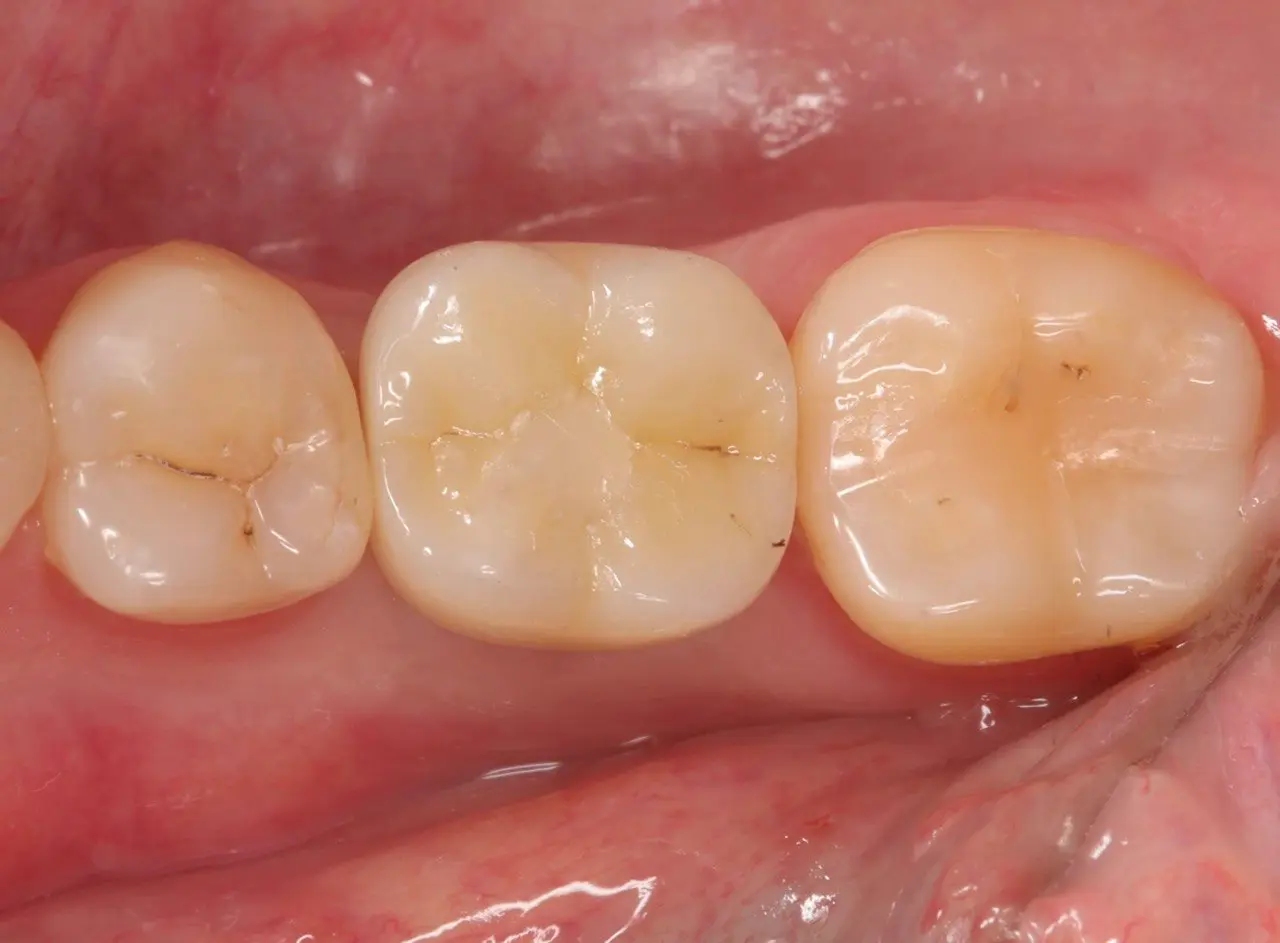
Імплантація з відновленням анатомії зуба
Для відновлення функції втраченого зуба проведено імплантацію з подальшим формуванням ясен під майбутню коронку.
до

після

Завдяки цифровому оптичному відбитку виготовлено коронку, що точно відтворює анатомію природного зуба.
Фінальний етап — фіксація та делікатна корекція прикусу.
Результат: стабільність, естетика та повноцінна функція жування.
